Creating Beautiful smiles Across
New Zealand.
Smilezy simplifies dental care with customised treatments, local services, and flexible pricing.
Choose Smilezy!
Fast turn around.
Within one week following your assessment, you will be provided with a link to access your customised 3D treatment plan.
Locally operated.
Our team is primarily located in New Zealand, ensuring seamless accessibility for all your inquiries and communication needs.
Flexible cost.
Get a unique quote tailored specifically to your dental needs. You can achieve perfection by aligning teeth.
About Us
Smilezy provides comfort with results.
The concept for Smilezy, a New Zealand company, originated from dissatisfaction among patients and clinicians with traditional braces and international aligner brands. Two doctors united with a shared goal of delivering beautiful smiles, driving them to tackle this challenge together.
Doctors
Patients
How it works
Begin your Smilezy journey today.
On the day of your appointment, the Smile Consultant will examine you and prepare your dental records with scans, x- rays and photos.
Within a week, you will receive a link with your personalized 3D treatment plan and a link for the initial payment.
On completing the necessary formalities, you will be registered as a Smilezy patient.
Your first set of aligners will take an average of 3 to 4 weeks to be dispatched. Post which you will continue to get four sets every 2 months after the doctors visit.
You will receive a retainers to maintain perfect smile.
Virtual assessment
Free Virtual Assessment.
Let us better understand your concerns with your current smile. Just upload a few photos of your teeth and get your dental report without leaving your home!
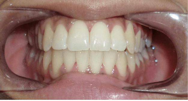
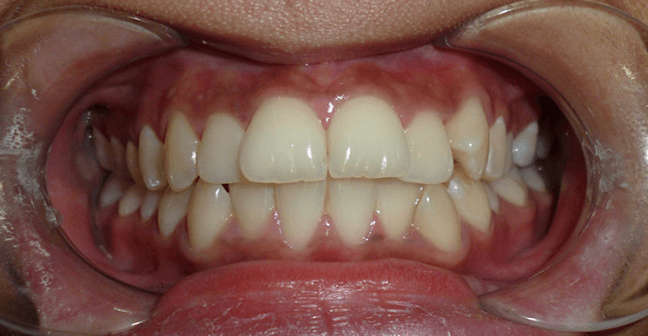
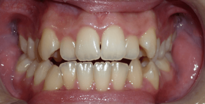
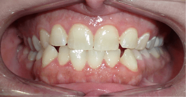
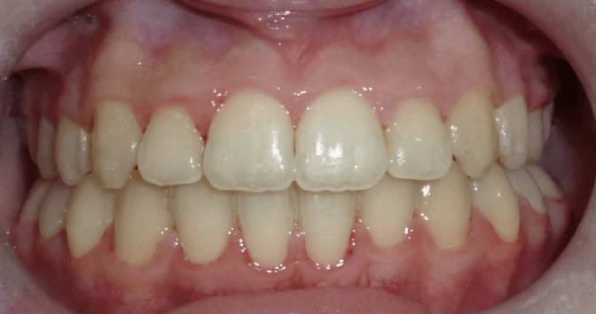
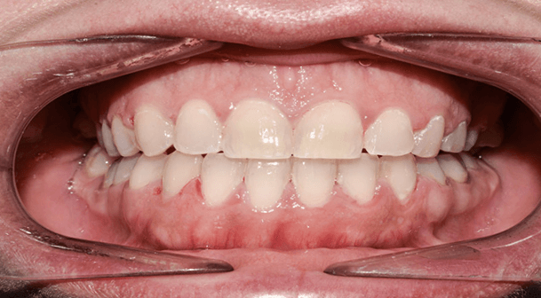
Perfect smile
Our Transformations.
We all feel the same sometimes. With Smilezy, you can get that perfect smile. With better treatment and results, the smile of your dreams is now within your reach!
For dental clinics
Get Smilezy Aligners for your Dental Clinic.
Smilezy aligners opens up a multitude of opportunities for your practice. We stand by your side at every stage, offering comprehensive education, support, clinical expertise, and resources for practice development. Introducing Smilezy aligners at your clinic could increase new patient’s, improve patient-doctor relationship and have more comprehensive dentistry.
Choosing Smilezy aligners has been one of the best decisions I’ve made for my practice and my patients. The impeccable fit, finish, and clarity of the aligners have set a new standard in orthodontic treatment. With Smilezy, I can confidently deliver exceptional results while ensuring my patients’ comfort and satisfaction throughout their treatment journey.
Dr Swathi Amin, BDS, MDS ( Endodontist )
Smilezy aligners have transformed the way I approach orthodontic treatment in my practice. The precision fit and clarity of the aligners ensure predictable tooth movement and optimal patient comfort. My patients appreciate the convenience and aesthetics of Smilezy aligners, making their smile journey a positive and rewarding experience for both of us.
Dr Anil Ramu, BDS, MDS ( Orthodontist)
I’ve been thoroughly impressed with Smilezy dental aligners for their superior fit, finish, and patient acceptance. The aligners offer exceptional clarity and comfort, allowing for discreet orthodontic treatment with minimal disruption to daily life. Smilezy aligners have become an invaluable asset in my practice, consistently delivering outstanding results and happy patients.
Dr Shreyas Sorake, BDS, MDS ( Max Fax)
As a Periodontist, I’ve seen the impact of Smilezy aligners on oral health firsthand. The removable design allows for easy maintenance and improved hygiene compared to traditional braces. Patients love the convenience and comfort, and I love seeing their smiles transform with every appointment.
Dr Sidharth Shankar, BDS, MDS ( Periodontist $ Implantologist )
I recently incorporated Smilezy aligners into my practice, and the response has been phenomenal. The flawless fit and crystal-clear clarity have exceeded my expectations, leading to delighted patients and stunning smile transformations. Smilezy aligners have quickly become my top recommendation for achieving a picture-perfect smile.
Dr Shahrzad Kadkhodayan, BDS, IQE (UK) GDC (UK)
As a seasoned dentist, I’ve witnessed countless smile transformations, but Smilezy aligners truly stand out. The precision fit and seamless finish make them a go-to choice for achieving impeccable results. My patients rave about the comfort and clarity, making their orthodontic journey a breeze.
Dr Vinothini Mangalaraj, BDS
I’ve found Smilezy dental aligners to be a game-changer in my practice. Their precision-engineered design and impeccable clarity provide unparalleled comfort and aesthetics for my patients. The convenience of removable aligners coupled with remarkable results has made Smilezy my go-to choice for orthodontic treatment.
Dr Suraj Hegde, BDS
Smilezy aligners have revolutionized my practice with their superior quality and exceptional performance. The precision fit ensures predictable tooth movement, while the flawless finish enhances patient comfort. With Smilezy, achieving stunning smiles has never been easier, leaving both me and my patients thoroughly satisfied with the results.
Dr Satheesh Kumar, BDS,MDS ( Prosthodontist)
As a practicing dentist, I’ve been delighted with the performance of Smilezy dental aligners. Their impeccable fit, smooth finish, and crystal-clear clarity make them a top choice for achieving optimal results in orthodontic treatment. Patients love the convenience and comfort they offer, making their smile transformation journey seamless and enjoyable.
Dr Rabab Zaidi,DDS
Our socials
Stay connected.